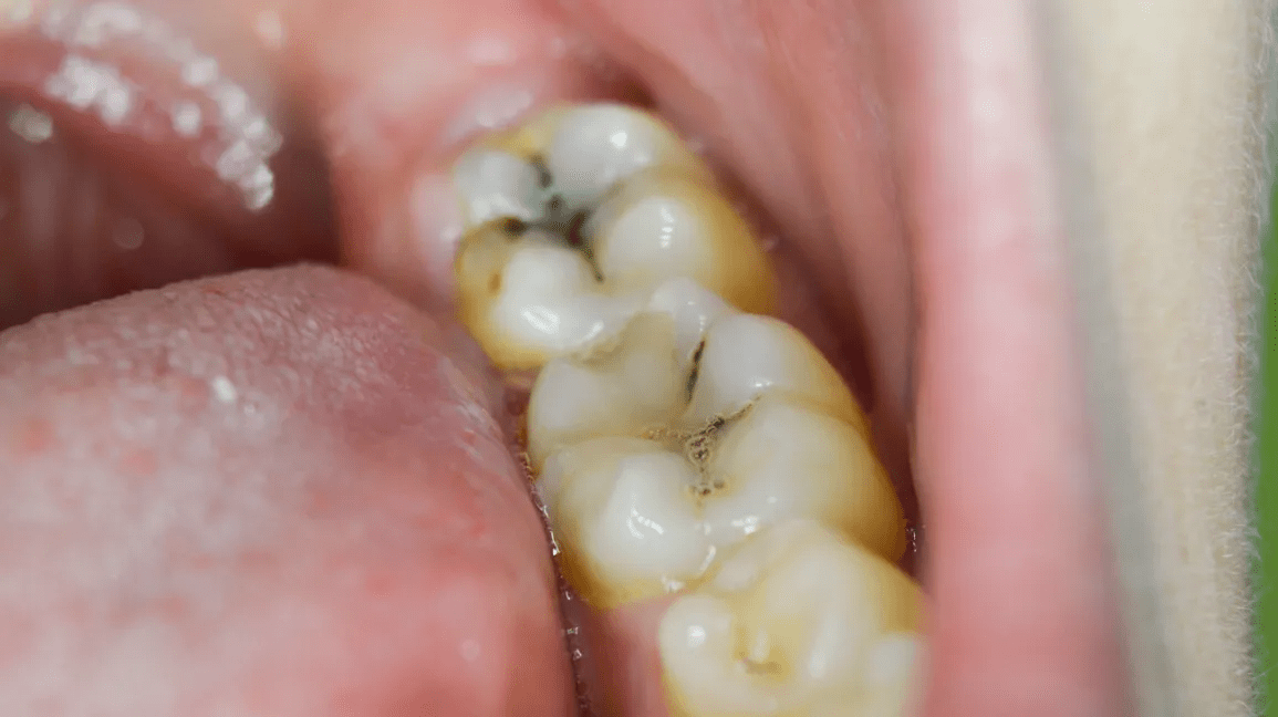
To maintain a radiant smile and optimal oral health, understanding the tooth decay is paramount. Tooth decay isn’t a mere inconvenience; it’s a persistent adversary that can silently undermine your dental well-being. Delving into the intricate web of tooth decay reveals a tapestry woven with dietary choices, oral hygiene habits, and even genetic predispositions.
Sugar Overload: The Tooth Decay Causes
Among the foremost tooth decay causes, an undeniable villain emerges sugar. This crystalline temptation, lurking in delectable treats, beverages, and even seemingly innocuous snacks, is a prime perpetrator. When sugary morsels encounter the oral milieu, they become nourishment for the insidious plaque-producing bacteria. These microorganisms, in their ravenous feasting, generate acids that erode tooth enamel, laying the foundation for decay’s unwelcome embrace.
Fermentable Carbohydrates: The Covert Erosion
Another malefactor hidden within certain carbohydrates, known as fermentable carbohydrates, advances the crusade of tooth decay causes. These carbohydrates, prevalent in starchy delights such as chips, crackers, and refined grains, exhibit a cunning ability to linger within crevices and corners of the oral landscape. Bacteria seize upon this sustenance, commencing a fermentation frenzy that culminates in acid production, corroding precious dental fortifications.
Neglectful Oral Hygiene: Gateway to Decay
Tooth decay causes are intricately woven into our daily habits, or sometimes, the lack thereof. Neglecting meticulous oral hygiene fosters an environment conducive to dental deterioration. The art of brushing and flossing, performed with diligence, dismantles plaque’s aspirations, thwarting its capacity to orchestrate decay. Yet, forsaking this regimen extends an invitation to bacterial forces, intensifying their assault on dental integrity.
A Shield Against The Tooth Decay Causes
Championing your oral citadel necessitates astute dietary choices. Opt for snacks low in fermentable carbohydrates and sugar, thereby curbing the sustenance that plaque’s minions thrive upon. Incorporating crunchy fruits and vegetables can also bestow a dual benefit – their fibrous nature stimulates salivary flow, which acts as a natural deterrent against acid accumulation.
Tooth Decay Causes Hydration, Nature’s Cleanser
Hydration emerges as an unsung hero in the battle against tooth decay causes. Water, an elemental elixir, aids in diluting sugar and residual food particles, diminishing their potential to cling tenaciously to dental surfaces. This aqueous ally additionally bolsters saliva production, a biological defense mechanism designed to neutralize acids and fortify enamel.
Regular Dental Odyssey: Your Guiding Beacon
Embarking on periodic dental odysseys, marked by routine check-ups, stands as a pivotal pillar in averting tooth decay. Proficient dental practitioners navigate the intricate terrain of your oral landscape, detecting nascent decay and deploying preemptive strategies. These voyages empower you with knowledge, enabling informed decisions in your quest for enduring oral well-being.
The Verdict: Nurturing Dental Flourish
In the complex symphony of tooth decay causes, a harmonious rhythm can be orchestrated through judicious lifestyle choices. Fortifying your defenses against tooth decay necessitates a coalition of dietary mindfulness, oral hygiene devotion, and vigilant dental consultations. By comprehending and circumventing the multifaceted factors that pave the path to decay, you carve a trajectory toward vibrant smiles and enduring dental vitality.
Unveil the curtain concealing the realm of tooth decay causes and take center stage as the protagonist of your dental narrative. From the sinister allure of sugar to the subtleties of fermentable carbohydrates, armed with knowledge, you possess the capacity to rewrite the script of your oral saga. Integrate these insights into your daily rituals, and watch as your smile flourishes, resilient against the tide of decay’s relentless advances. Your journey toward a gleaming, impervious smile begins with the choices you make today.
Conclusion
To embrace dental resilience is to embark on a journey of enlightenment, an expedition into the depths of oral intricacies. Armed with the shield of wisdom, you transcend mere awareness, forging a tangible fortress against the formidable forces of decay. The symphony of your smile reverberates with a newfound vibrancy, echoing the refrain of triumph over tooth decay causes.
